顔面痙攣と三叉神経痛
顔面痙攣と三叉神経痛について(がんめんけいれん、さんさしんけいつう)
Hemifacial spasm/Trigeminal neuralgia
顔面痙攣(がんめんけいれん)と、三叉神経痛(さんさしんけいつう)についてご説明します。
症状
顔面痙攣
典型的には、片側の眼の周囲のピクピクとした細かな筋肉のけいれんからはじまります。その後、次第に顔面全体にひろがり、けいれんの頻度と強さが増していきます。けいれんが長期におよぶと、顔面神経の麻痺を伴うこともあります。
三叉神経痛
片側の顔面に突発する激痛(電撃痛)が生じ、数秒から数十秒程度持続して消失します。疼痛は特定の部位(trigger zone)の刺激によって生じるため、話をしたり、食事をしたり、ヒゲを剃ったり、顔を洗うことが誘因となります。片側に起こることがほとんどで、眼の上、鼻の脇、下あごを中心に(それぞれいくつかの組み合わせ)起こることが多い痛みです。
原因
顔面痙攣と三叉神経痛は、どちらも蛇行した血管が神経の根元(脳との境界付近)と接触することで起こることがわかっています。血管の圧迫が長期に継続することによって特殊な髄鞘の弱い部分がショートした様な状況となって生じると考えられています。ただし、腫瘍や、変性疾患などの原因で生じることもありますし、似た症状を呈する別の疾患もあるので、診断には熟練した医師の判断が必要です。
(左図)神経繊維はミエリンという絶対物質で覆われている
(右図)血管の圧迫により神経がショートしたような状況になる
(左図)通常の状態
(右図)三叉神経痛や顔面麻痺の状態
図:神経圧迫により髄鞘が痛み、電気がショートしたような状況となり症状が起こる。
治療法
薬物療法
血管が神経に接触することで、神経がショートしたような状況になってしまうことが症状の原因と考えられますので神経の伝導を抑えるような薬剤を使用します。テグレトール、リボトリール、デパケン、イーケプラなどの薬物が使用されます。これらの薬物は神経の興奮を抑える作用がありますので、副作用として眠気やふらつきが生じることがあります。
ブロック療法
麻酔薬を使用して、神経の異常な興奮がつたわりにくくする治療です。当院ではペインクリニック科が専門で行います。三叉神経痛に用いられることが多く、一定の効果が得られます。顔面痙攣に対してもブロック治療を行うことが出来ますが、筋肉の働きをブロックしてしまうので、顔面麻痺の状態になります。
放射線治療
三叉神経痛に対しては、ガンマナイフという放射線治療によって効果が得られることがわかっています。長期的な成績や、副作用についてはまだ明確でない点もありますので、よく相談した上で治療方法を選択することが必要です。初期効果はおよそ80%で疼痛の消失または軽減がみられ、長期的には約60~70%で症状が抑えられています。当院ではガンマナイフセンターも併設されており、これによる治療も可能です。
NTT東日本関東病院でのガンマナイフ治療例
手術治療
最も根本的な治療は原因をとりさることです。先ほど説明したとおり、神経と血管の接触が原因となっていますので、手術をして、血管を神経から離してあげることで症状の改善を図ります。当院での過去4年間の手術成績は以下のとおりです。
| 症状が完全にきえた | 症状が改善した | 変わらなかった | |
|---|---|---|---|
| 顔面痙攣 | 82% | 15% | 3% |
| 三叉神経痛 | 91% | 7% | 2% |
また、手術治療には合併症の危険性が常にありますが、当院では本手術により死亡、永続する聴力障害、意識障害、四肢の麻痺などの重篤な後遺症を残した例はありませんでした。
軽微な声のかすれや飲み込みの障害、聴力低下は3-5%にみられましたが、いずれも術後時間と共に改善しています。

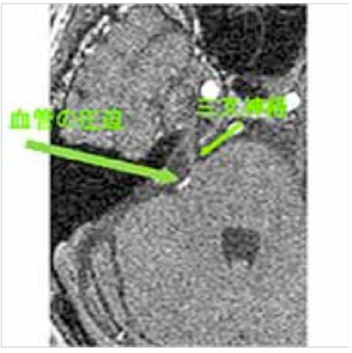
圧迫された神経を示すMRI

手術写真:神経が血管に圧迫されている部分を丁寧に剥離し血管をどかしているところ。

血管をテフロン綿でずらして固定している。

図 治療のシェーマ
村井、梅岡が治療にあたります。
セカンドオピニオンも受け付けておりますので、ご相談ください。
〒113-8603 東京都文京区千駄木1-1-5
日本医科大学 脳神経外科外来受付
TEL:03-3822-2131(平日9時00分~17時00分)



