【2025年12月現在】
認知症疾患医療センター
日本医科大学千葉北総病院は令和2年4月から千葉県から委託され、地域型の認知症疾患医療センターを運営しています。
千葉県には9つの2次医療圏に11の認知症疾患医療センターがあり、いずれの医療圏にも1つ以上認知症疾患医療センターは設置されていますが、当院は印旛医療圏(成田市|佐倉市|四街道市|八街市|印西市|白井市|富里市|酒々井町|栄町)を担当しています。
この印旛医療圏には、2025年4月1日時点で717,210人の方々が生活しており、認知症でお悩みの方、ご家族が多数おられることと思います。
認知症疾患医療センターは、認知症の速やかな鑑別診断や、行動・心理症状(BPSD)と身体合併症に対する急性期医療、専門医療相談、関係機関との連携、研修会の開催等の役割を担います。患者相談窓口に直接お越しいただくか、認知症疾患医療施センター(直通)までお電話でご相談ください。
業務内容
認知症専門医による診察
脳神経内科 山崎峰雄、戸田諭補(日本認知症学会専門医)
メンタルヘルス科 下田健吾(日本老年精神医学会専門医)
認知症療養相談、神経心理検査、地域医療介護連携
老人看護専門看護師、公認心理師、精神保健福祉士
(1) 認知症専門医による初期診断および行動心理症状の診察
* 初期診断(脳神経内科):認知症疾患医療センター患者相談窓口で予約できます。
かかりつけ医の先生にお願いして、情報提供書を作成してもらい、ご持参ください。
第1、3、5月曜 午後
第1、3木曜 午後
第1、4、5週水曜 午後
(上記以外にも土曜 午前の脳神経内科新患外来でも対応しております)
* BPSD(周辺症状)診察(メンタルヘルス科):認知症疾患医療センター(直通電話)
へ直接ご相談ください。
(2) 診断のための検査
* 神経心理検査:MMSE、MoCA-J、ADAS、WMS-R、CDRなどを行い、認知機能障害の程度と障害パターンを明確にします。
* 頭部MRI:萎縮部位を同定して、認知症の病型を行います。VSRADなどの画像統計解析ソフトも利用しています。
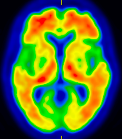
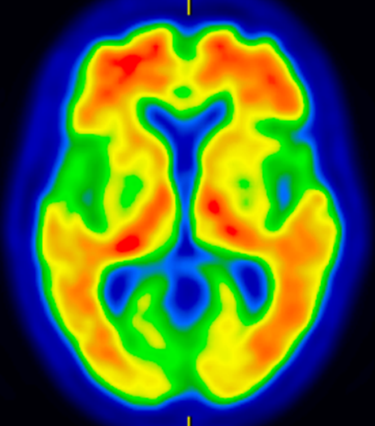
* 脳血流SPECT(図1):それぞれの認知症に特徴的な血流低下所見を確認して、鑑別診断の精度を高めます。
* DAT-スキャン、MIBG心筋シンチ:レビー小体型認知症やパーキンソニズムを呈する認知症の診断に必要と考える場合に実施します。
* 脳脊髄液検査(腰椎穿刺):主にアルツハイマー型認知症の早期診断を目的に脳脊髄液中のアミロイドβ42/40、リン酸化タウの測定を行います。
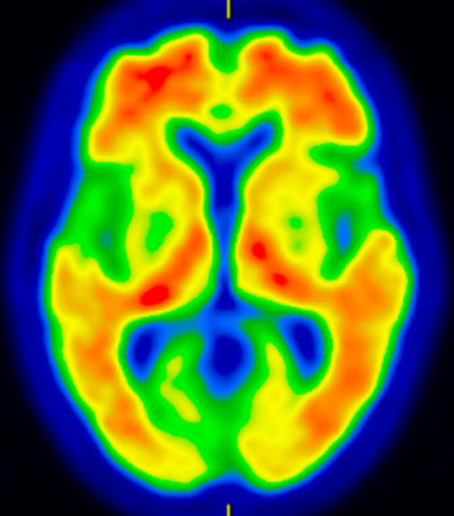
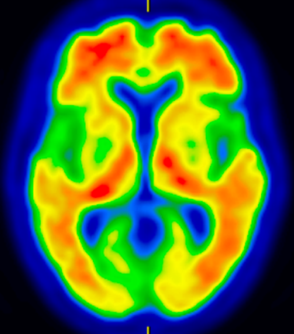
* アミロイドPET(図2):当院で実施可能です。アルツハイマー病の原因物質と考えられているアミロイドβプラークが、脳内に溜まっているかどうかを調べる検査です。抗アミロイドβ抗体薬を使用するには、アミロイドPETが陽性である必要があります。
(3) かかりつけ医、病院、介護福祉施設等との連携
(4) 認知症療養相談(受診相談、初期診断後および継続支援)(専任看護師・心理士・精神保健福祉士)
図1 アルツハイマー型認知症の脳血流SPECT
図2 アルツハイマー型認知症のアミロイドPET
受診の流れ※受診には必ず日頃の様子が分かるご家族等と一緒に来院ください。
【患者さん】
(1)かかりつけ医に相談下さい。認知症疾患医療センター宛の診療情報提供書(紹介状)を作成してもらい、診療情報提供書がお手元にある状態で、予約電話:0476-99-0413へお電話下さい。もの忘れ外来の予約を取らせて頂きます。
(2)可能であれば、「もの忘れ外来」質問票をご記入のうえ、診療情報提供書と併せて、予約当日ご持参ください。
ご不明な点は、認知症疾患医療センター直通電話:0476-99-0413へお電話下さい。
【紹介元医療機関】
(1)FAX診療申込書と診療情報提供書を直通FAX番号:0476-99-0511へ送信下さい。
(2)診療情報提供書(原本)は患者さんへお渡しください。
(3)FAX診療申込書の2枚目を患者さん(ご家族)に渡していただくか、患者さん本人(ご家族)から予約専用電話:0476-99-0413へ電話するようお伝えください。
お知らせ
お問い合わせ先
認知症疾患医療センター
認知症に関する相談・もの忘れ外来の予約
電話:0476-99-0413(直通)
(受付時間:月~金曜日8:30~17:00、土曜日 8:30~16:00)
※病院休診日、日・祝を除く。


